Brightfield Microscopy

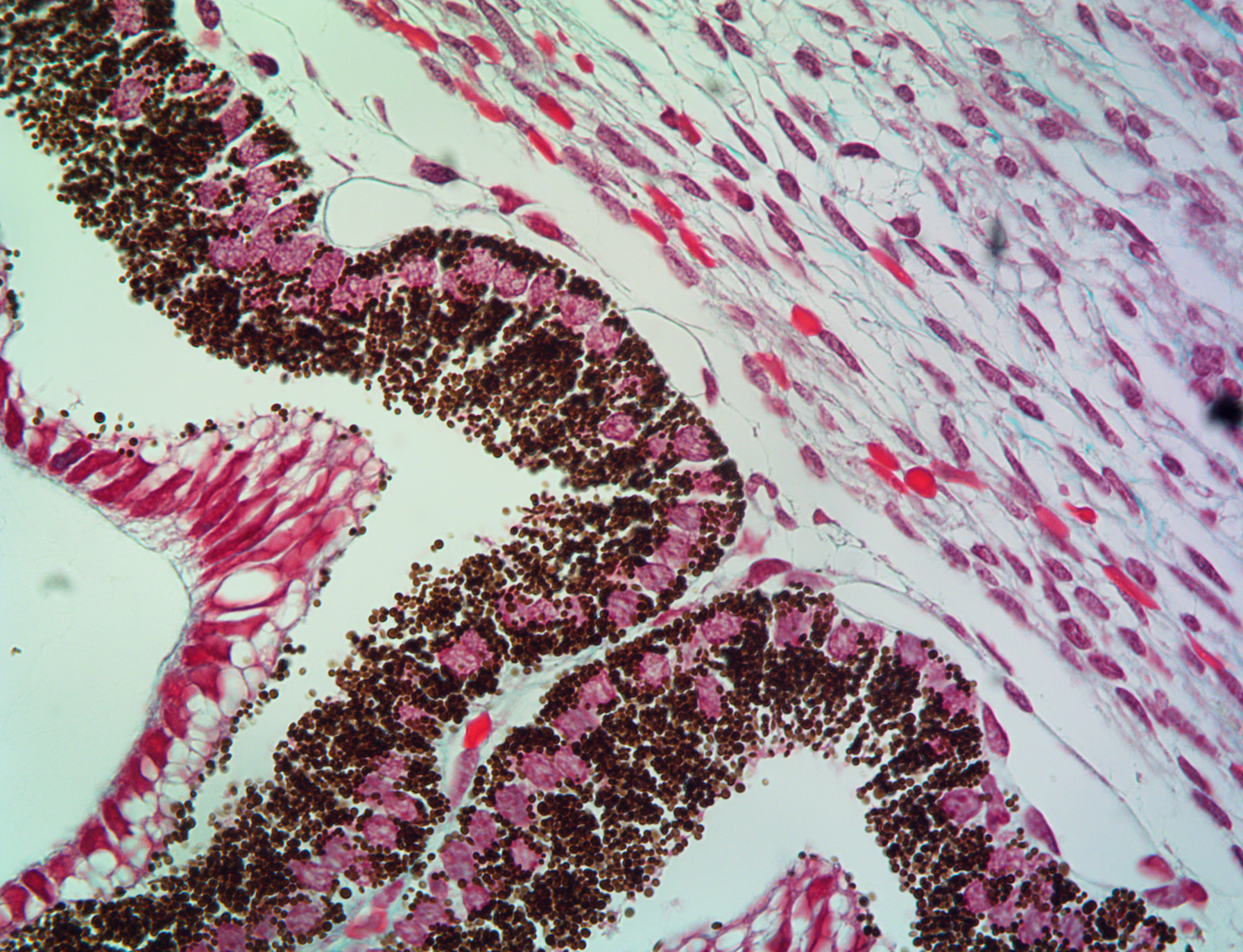
human eye section 4x brightfield

These images are successively more magnified views of a thin section of a human eye. The science of tissue preparation is called histology, and there are many types of stains to work with.

human eye section 10x brightfield human eye section 20x brightfield human eye section 60x brightfield human eye section 100x brightfield

These images are successively more magnified views of a prepared slide showing two layers of onion cells, many of which are in various stages of mitosis (cell division). 10x and 20x are single exposures, while the 60x is a focus stack of 20 images and the 100x is a stack of 14 images.

onion root tip section 10x brightfield onion root tip section 20x brightfield onion root tip section 60x brightfield stacked onion root tip section 100x brightfield stacked

And of course, what brightfield page would be complete without at least one view of the USAF 1951 resolution test target? This is with a 2x Plan Apo (NA = 0.08), a 2x Plan (NA = 0.05) and a 3x Plan (NA = 0.08) in brightfield transmission on a Diaphot. I attempted to stitch the whole pattern together, but ICE got fairly confused with the repetitive pattern, so here is just the center section as a single image in BW.

USAF 1951 resolution test target 2x PlanApo USAF 1951 resolution test target 2x Plan USAF 1951 resolution test target 3x Plan USAF 1951 resolution test target 10x E Plan

If you open the full sized version, you can see that the 3x objective has a limiting resolution at just about the smallest feature, which on this version is 228 line pairs / mm (group 7 goes from 128 to 228 lp/mm), so each bright or dark bar is almost 2.2 microns across. It may have been camera settings or sample focus, but the 2x Plan looks as good or better than the PlanApo - of course, this is in black and white, so the Apochromat should have only a minor advantage. The 2x objectives seem to limit out at about 150 lp/mm, which is repectable for the power. It also appears that the vertical resolution is slightly better than horizontally, for whatever reason (astigmatism or camera tilt come to mind.)

It appears that once you get over about 4x, this version of the target has only limited use as a resolution target, since all spacings are resolved. The final image is a with an E Plan 10x, with a fully resolved smallest pattern. No processing was done - they could all be improved by "auto levels" or "auto contrast" in Photoshop.



Last updated September 19, 2024. If you arrived via an external link, please visit the homepage for navigation!